ホワイトニング
- お子様、また妊娠中・授乳中の方はお控えください。
- 重度の歯肉炎や歯周炎、知覚過敏、ムシ歯などがある方は、そちらの治療を優先します。
(治療行為に関しては、別途保険治療代がかかります。) - 詰め物や被せ物などの人工物には効果はありません。
- 医師が適切でないと判断した場合、治療を行えないことがございます。
「歳を取るにつれて、歯が黄ばんできたように感じる」
「市販の歯磨き粉や通販のホワイトニング材を試したが、効果がなかった」
このようなお悩みをお持ちの方も、多くいらっしゃるのではないかと思います。
そのような方には、歯科医院でのホワイトニングがおススメです。
ホワイトニングとは、歯みがきや歯のクリーニングなどでは落としきれない歯の着色をきれいにし、歯を白くする方法です。
歯を削ることなく、歯の中にある色素を分解し、歯の明度を上げて白くするため、加齢による歯の黄ばみなどでお悩みの方にもおススメです。
厚生労働省に認可されたホームホワイトニング材を使用
当クリニックでは、アメリカ合衆国のウルトラデント社のオパールエッセンスを使用しています。
オパールエッセンスは他製品に比べ粘度が高いため、着脱の際や装着中にトレーから薬液が漏れにくいという特徴がございます。
また厚生労働省に認可(10%)されていますので、安心してお使い頂けます。
1回分の薬液で片顎10歯のホワイトニングが可能です。薬液は、冷蔵庫や冷所で保管してください。保管可能な期間は未開封の状態で約2年ですが、開封後はできるだけ早めにお使いください。
ご注意いただきたいこと
歯質や変色の原因や体質などによっては、ホワイトニングができない場合や、ご希望通りの白さにできない場合もございますのでご了承ください。
まずは上の歯のみで試してみてください
当院では、ホワイトニングの効果や施術に不安がある場合、まずは上の歯のみのホワイトニングを試してみることをおススメしております。
ホワイトニングで歯が白くなるかどうかは個人差によるものが大きく、上の歯が白くならない方の場合は、下の歯もご希望の白さにならないことが予想されます。 上の歯のみのホワイトニングを行ってみることで、下の歯との色の違いを比較することもできますので、特にお急ぎの場合でなければ、まずは上の歯で試してみていただければと思います。
当院では、上下セットで行った場合に費用の割引を適用さえていただいておりますが、上の歯のホワイトニングを行った後で下の歯のホワイトニングも行った場合、下の歯のホワイトニング料金に関しては、セット料金を適用させていただき割引をさせていただいております。
費用面でお悩みの方も、お気軽にご相談いただければと思います。
ホワイトニングの流れ
STEP1 お電話・ご予約フォームよりご予約
まずはお電話・ご予約フォームよりご予約下さい。
治療に関するご質問などもお受けいたします。
STEP2 お口の状態の確認
実際に来院していただき、お口の状態(ムシ歯・歯周病・知覚過敏等がないか)を確認します。
また、現在の歯の色を写真に残しておきます。
※ 診査・診断・クリーニング代として保険内¥3.500程度が別途必要となることがあります。
STEP3 歯のクリーニング
着色や汚れの付着の状態を確認し、必要に応じてはじめにお口のクリーニングを行います。
歯石がついているときには、スケーリングという歯石の除去を行う場合もあります。
歯石除去をした後に歯が一時的にしみる場合がありますのでその場合には、ホワイトニングは少し時間をあけて行うことがあります。
STEP4 トレーの作成
歯型をとり、ホワイトニングのためのマウスピースをつくります。
患者さん個々の歯形に合わせて製作いたします。
STEP5 装着
マウスピースができあがったら、マウスピースとホワイトニング剤をご自宅にお持ち帰りいただき、歯科医師に指示された時間を守って歯に装着します。
1~3ヶ月継続することで多くの方が歯の白さを実感できるようになります。
ホワイトニングと同時に、毎日しっかりと歯磨きをする、喫煙をしない、着色しそうな飲食物はなるべく摂取を控えるなど日頃の生活習慣を見直し、ケアしていくことで効果をより実感できるでしょう。
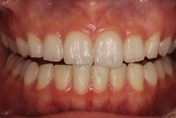
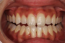
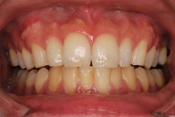
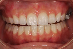
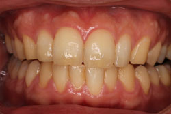
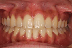
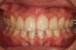
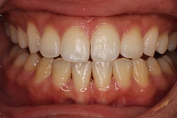
ホワイトニング症例写真
当クリニックスタッフの、ホームホワイトニング経過写真を掲載していきます。
上の歯のみホワイトニングしています。開始前、1週間後の経過写真です。
ホワイトニング開始前 |
1週間経過後(上歯) |
ホワイトニング開始前 |
1週間経過後(上歯) |
ホワイトニング開始前 |
1週間経過後(上歯) |
ホワイトニング開始前 |
1週間経過後(上歯) |

ホワイトニング開始前
1週間経過後(上歯)
ホワイトニング開始前
1週間経過後(上歯)
ホワイトニング開始前
1週間経過後(上歯)
ホワイトニング開始前
1週間経過後(上歯)